Skip to content
Precision for Medicine
Early Access to Whitepaper

Beyond Geography: A Former Regulator’s Perspective on Multiregional Oncology Trials

Immunohistochemistry (IHC) Services

Immunohistochemistry to support your exploratory preclinical or clinical research, anywhere in the world

Immunohistochemistry (IHC) biomarkers are essential to drug development. At Precision, we maximize data from limited tissue using our high-quality repository to develop, validate, and implement IHC assays for exploratory through late-phase studies. For trials needing spatial context beyond chromogenic IHC, our mIF workflows enable single-cell phenotyping and proximity analysis.

Precision can support utilization of IHC across preclinical through clinical development, with support for IHC based Companion Diagnostics (CDx)

Discover the distinct benefits and advantages of Precision's Immunohistochemistry services
  • Global Laboratories
  • Platform Agnostic
  • Full Life Cycle Support
  • Precision brings you access to 3 labs with immunohistochemistry capabilities

    With 2 labs located in the United States and 1 lab located in Europe – Precision's reach extends globally for IHC solutions.

    • Houston, Texas, United States
    • Winston-Salem, NC, United States
    • Royston, UK
    iStock-1401326975 (1)
  • Access to all major IHC platforms

    Leica, Dako, and Ventana staining platforms are available at our 3 global IHC labs, with redundancy of instrumentation within and across labs, supporting development of assays or diagnostics based on any platform.

    WS Lab-1
  • From preclinical through late phase studies

    Precision's team of IVD & CDx Regulatory Consulting experts provide full lifecycle development support to construct plans for any eventuality as your project progresses.

    Our-site pathologists are available for custom tissue annotation and analysis, as well as to support custom tissue sourcing.

     

    Explore IVD & CDx regulatory consulting
    clinical-development-planning_hero-desktop

Target the clinical biomarkers important in your trials

See which biomarkers we've worked with and some we've for immunochemistry and multiple immunofluorescence.

Brochure

IHC and mIF Markers Test Menu

Download Brochure
IHC and mIF Markers Test Menu
frozen-tissue

Experts in all aspects of IHC biomarker analysis including:

  • Custom assay development, qualification, transfer, & validation, including scoring system, using our tissue archive
  • In Situ Proximity ligation assay (isPLA) for evaluation of protein-protein interactions
  • Logistical process for sample collection
  • Global deployment of custom kitting
  • Centralized pathology reading with manual scoring or AI-assisted scoring using HALO AP and Proscia Concentriq.
  • Real time analysis for patient screening & enrollment (CLIA)
  • Development of an IHC assay into a companion diagnostic (CDx)
  • Sample receipt and wet tissue processing

Case Study

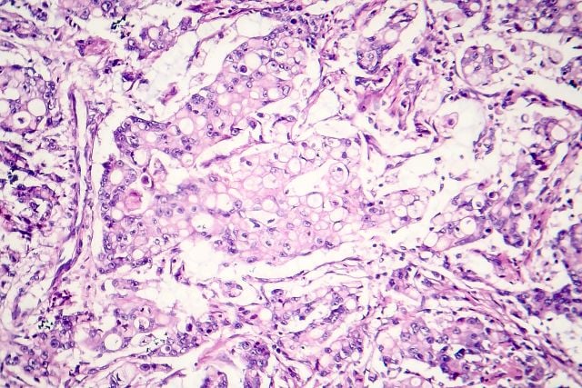
Patient stratification using biomarkers from biopsies

Precision developed an IHC assay for patient study enrollment by P-Cadherin expression in tumor biopsies:

  • Assay development and customized kitting generation and shipment
  • Development of a semi-quantitative IHC scoring index (SI) to compare P-Cadherin staining intensity and prevalence from sample to sample
  • IHC pathology analysis by scoring index; rapid turnaround of results reported within 72 hours of receipt
#6_immunohistochemistry_diagram
unnamed
Representative Images with Scoring Index (SI)

This rapid turnaround of scoring index data enabled P-Cadherin expression to be utilized as a criterion for inclusion in the study.

Integrating biomarker and clinical trial data to help researchers understand and interpret biomarker assay data in the context of other assays as well as the clinical trial data, Precision provides the option of managing and analyzing data using our proprietary QuartzBio enterprise Biomarker Data Management software solution.

Precision has experience in developing and validating IHC biomarkers to support many key areas of research in our CAP accredited CLIA laboratory, with the capabilities to:

Evaluate pharmacodynamic effects and therapeutic efficacy on protein expression

Accelerate patient enrollment and stratification with a 72-hour turnaround time

Understand drug activity via mechanism of action

Identify predictive and prognostic biomarkers

Monitor immune response to immunotherapies by profiling key immune cell populations

Multi-service integrations

Clinical biomarkers go far beyond traditional IHC – couple IHC biomarker assays with mIF for spatial context and single-cell insights, or integrate with genomics, liquid biopsy, and flow cytometry for richer datasets.

  • Explore
    Multiplex

    Multiplex Immuno-fluorescence

    Automated multiplex immunofluorescence services that enable quantitative visualization of up to 9 markers in tissue and liquid biopsies
    Explore

    Multiplex Immuno-fluorescence

    Automated multiplex immunofluorescence services that enable quantitative visualization of up to 9 markers in tissue and liquid biopsies
    Explore
  • Explore
    iStock-1257429592 (2) (1)
    liquid-biopsy

    Liquid Biopsy

    An alternative when tissues are not available for serial assessment of pharmacodynamic biomarkers

    Explore
    liquid-biopsy

    Liquid Biopsy

    An alternative when tissues are not available for serial assessment of pharmacodynamic biomarkers

    Explore
  • Explore

    Genomics Services

    With NGS, NanoString, qPCR and ddPCR capabilities, we can add insights from genomic and transcriptomic technologies to your understanding of patient biology.
    Explore

    Genomics Services

    With NGS, NanoString, qPCR and ddPCR capabilities, we can add insights from genomic and transcriptomic technologies to your understanding of patient biology.
    Explore
  • Explore
    cytometry

    Flow Cytometry

    Standard and spectral flow cytometry, on both research-grade and CLIA-validated instruments
    Explore

    Flow Cytometry

    Standard and spectral flow cytometry, on both research-grade and CLIA-validated instruments
    Explore
  • Explore
    fish-ish_card-thumbnail

    FISH/ISH

    Development of multiplex FISH/ISH assays to detect abnormalities in a range of tissues, including hematological and solid organ tumors
    Explore

    FISH/ISH

    Development of multiplex FISH/ISH assays to detect abnormalities in a range of tissues, including hematological and solid organ tumors
    Explore

Find the samples needed for your IHC analysis with Precision’s tissue biospecimen repository

Our Related Biospecimens

  • Explore
    FFPE-Tissues-hero
    tissue-slide

    Formalin-Fixed Paraffin Embedded (FFPE) Tissue

    Extensive inventory of pathologist-reviewed formalin-fixed paraffin-embedded tissue blocks & slides from normal and diseased subjects.

    Explore
    tissue-slide

    Formalin-Fixed Paraffin Embedded (FFPE) Tissue

    Extensive inventory of pathologist-reviewed formalin-fixed paraffin-embedded tissue blocks & slides from normal and diseased subjects.

    Explore
  • Explore
    tissue on microscope
    liquid-biopsy

    Liquid Biopsy

    An alternative when tissues are not available for serial assessment of pharmacodynamic biomarkers

    Explore
    liquid-biopsy

    Liquid Biopsy

    An alternative when tissues are not available for serial assessment of pharmacodynamic biomarkers

    Explore