Skip to content
Precision for Medicine
Early Access to Whitepaper

Beyond Geography: A Former Regulator’s Perspective on Multiregional Oncology Trials

Reticulin Reticulin

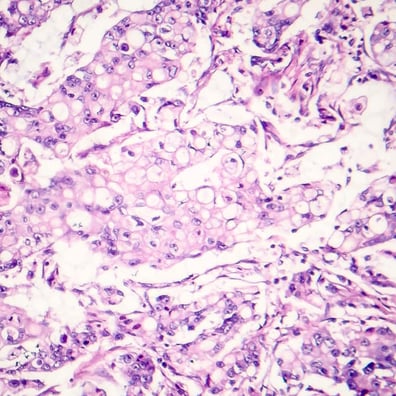
Formalin-Fixed Paraffin Embedded (FFPE) Tissue

Extensive inventory of deeply-characterized, pathologist-reviewed FFPE tissue blocks, curls, and slides
FFPE tissue specimens are collected under IRB-approved protocols from high-caliber CLIA- and CAP-certified laboratories and hospitals in the US and our international partners and stored in our on-site climate-controlled biorepository. Our inventory contains a wide variety of disease and normal tissue, which undergo extensive pathologist review to ensure only the highest-quality samples are delivered to you. Precision’s network of partner hospitals and laboratories allow us to prospectively collect samples for indications not in our repository.

Bringing you the highest quality tissues

With a full-service histopathology lab and on-site pathologists, Precision's FFPE tissue undergoes the highest level of quality control – with the capacity for customizable characterization – before shipping straight to your lab. 
  • Sample Curation
  • Real-Time Tissue Review
  • Additional Characterization
  • Pathologist-verified tissues for your research

     
    Following each tissue request, samples are hand-selected from our inventory and annotated by our on-site, research-focused pathologists to match samples with your exact needs – ensuring each sample delivered meets only the highest-quality standards for your downstream applications.
    FFPE-Pathologist-at-microscope
  • Digital Pathology solutions for biomarker confirmation and collaborations

    All of our FFPE tissue blocks that have undergone genomic characterization have matched H&E slide images that allow for pre-selection of your tissue blocks based on biomarker data, ensuring the samples selected have what you need. Whole slide images are available for all tissues upon request via Proscia Concentriq. 

    This digital pathology program also allows for real-time collaboration for IHC validations across labs and pathologists. 

    tissues-overview-hero
  • On-site histopathology and genomics lab to further characterize your samples

    Our integrated, high-throughput histology lab allows for additional annotation and tissue processing, such as custom staining or TMA creation.

    Over 13,000 of our FFPE tissue blocks across 15 oncology indications have been sequenced via NGS and are accompanied by variant data, H&E slide images, and isolated DNA/RNA.

     

     

    Precision mIF image
ffpe-tissue-repository-01

Precision’s tissue archive represents benign, chronic and acute disease, and oncology indications. 

  • Tissues aged 2-10+ years old
  • Large-volume subset of oncology indications successfully sequenced with highly annotated molecular data, many of which with banked RNA/DNA
  • Suitable for biomarker screening studies, prevalence studies, TMA construction, additional genomic profiling, client-proprietary IHC optimization and validation studies

Major Tissue Inventory Indications

Breast

Lymphoma

Colorectal – MSS and MSI

Kidney

Brain

Lung

Bladder

Head and Neck SCC

Prostate

Thyroid

Ovary

Melanoma

Uterine

and more...

tissue-labs

Extensive biorepository of characterized tissues

  • Tumor, normal, and adjacent tissues
  • Blocks, slides, and curls
  • Accompanied by demographics, diagnosis and staging
  • Processed and stored in our CAP-accredited CLIA-certified facility
  • Collected from US based hospital networks and international partners
tissue-cross-reactivity_header

Our FFPE tissue is certified both clinically and molecularly to match your research endpoint

  • Board Certified Pathologist review, selection, & annotation
  • Special stains for IHC available
  • Custom construction of high density tissue microarrays (TMA)
  • Tumor and tissue assessment in conjunction with quantitative multiplex immunofluorescence
  • Microdissection of samples for RNAseq or NanoString analysis
  • Analysis of samples in support of companion diagnostic (CDx) development
  • On-site Pathologists

    Our on-site pathologists are solely dedicated to research, ensuring complete quality control and in-depth analyses of your samples. Providing custom solutions to support all areas of clinical research and diagnostic development.

    Explore Pathology Services
  • Cullen Taylor

    Cullen Taylor

    M.D. Medical Director

  • Dawn Butler

    Dawn Butler

    M.D. Staff Pathologist

Learn more about our tissue and pathology services

Precision’s specialty lab services to further characterize your FFPE Tissue

  • Explore
    IHC
    tissue-slide

    IHC

    End-to-end IHC solutions including kitting, sample logistics, staining via all major platforms, and in-house pathology services
    Explore
    tissue-slide

    IHC

    End-to-end IHC solutions including kitting, sample logistics, staining via all major platforms, and in-house pathology services
    Explore
  • Explore

    Pathology Services

    In-house pathology team to provide expert assessments with rapid turn-around times, and sample processing services including FFPE and microdissection
    Explore

    Pathology Services

    In-house pathology team to provide expert assessments with rapid turn-around times, and sample processing services including FFPE and microdissection
    Explore
Cullen Taylor
Cullen Taylor

M.D. Medical Director

Founder of the uniquely consultative biospecimens company GLAS •Research interests and expertise: Fine Needle Aspiration and exfoliative cytopathology, Surgical Pathology, Uropathology •Board Certification: American Board of Pathology Cytopathology, American Board of Pathology Anatomic and Clinical Pathology

Dawn Butler
Dawn Butler

M.D. Staff Pathologist

Former Chief of Pathology at Greensboro Pathology Associates, part of Sonic Healthcare, Aurora Diagnostics, Inc. •Hematopathology and Anatomical and Clinical Pathology, American Board of Pathology